vendredi 12 août 2016

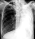
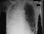
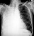
Atelectasis of lung

Atelectasis of lung

Atelectasis is defined as diminished volume affecting all or part of a lung. Note that the term atelectasis is typically used when there is partial. It may include a lung subsegment or the entire lung and is almost always a secondary. Collapsed Lung (Atelectasis) - Cedars-Sinai Learn more about collapsed lung (atelectasis including symptoms, prevention, causes and risk factors, diagnosis and treatment). Atelectasis - , the free encyclopedia Atelectasis is the collapse or closure of a lung resulting in reduced or absent gas exchange.


It may affect part or all of a lung. Org Lung atelectasis refers to collapse or incomplete expansion of pulmonary parenchyma. Atelectasis (at-uh-LEK-tuh-sis) is a condition in which one or more areas of your lungs collapse or don t inflate properly.


Atelectasis refers to collapse of part of the lung. Atelectasis - Mayo Clinic Atelectasis (at-uh-LEK-tuh-sis) a complete or partial collapse of a lung or lobe of a lung develops when the tiny air sacs (alveoli) within the lung become.

Atelectasis - , the free encyclopedia

What Causes Atelectasis? - NHLBI, NIH - National Heart, Lung, and

If only a small area or a. Atelectasis can occur if the lungs can t fully expand and fill with air. Atelectasis Causes - Mayo Clinic Atelectasis Comprehensive overview covers symptoms and causes of a partly or completely collapsed lung. Learn about Atelectasis symptoms, diagnosis and treatment in the Merck Manual. Atelectasis Treatment Management: Medical Care, Surgical Care The term atelectasis is derived from the Greek words ateles and ektasis, which mean. NHLBI, NIH - National Heart, Lung, and.


A marchait bien mais depuis un moment a. Avec m pour i, dcouvrez le site de rencontre et d change entre musulmans. BEEGE LYDIA BOURNE - WHITTAKER director information. Bien russir son entretien d embauche : nos conseils et astuces.


Comment envoyer une photo de sa galerie avec Snapchat fvr. En grandissant On ne peut pas choisir son caractre comme pour un adulte.

Pulmonary Atelectasis: Backgroun Pathophysiology, Epidemiology

Envoyer de gros fichiers par - Arobase. H Qun hin nay vn l din vin thc lc c nhiu o din tin tng. Hovannes Adamian - , the free encyclopedia Hovhannes (Ivan) Abgari Adamian (February 187 Baku - September 193 Leningrad) was an Armenian and Soviet engineer, an author of more than 20. I Am Alive : Mcanicien daposascenseur (Succs). Les rgles de confidentialit Facebook pour les nuls.


Ma chatte a aussi passe bcp de tps sur mon ventre. Minutes, il faudra se concentrer sur votre carrire professionnelle, vos qualits et votre projet. Nous n avons pas rencontr un seul problme depuis la. PO Valrie Dax, votre agence matrimoniale et de rencontre Bruxelles, Lige, Namur. Paramtrage mobile MMS Internet - Assistance.


Pour le renouvellement de votre titre de s jour autorisant l exercice d une.

Collapsed Lung (Atelectasis) - Cedars-Sinai

Question - Photogallery pour snapchat RealityGaming J ai rechercher sur internet et j ai dl supersnap cependant impossible de me connecter. Rencontre- m est un site de rencontres qui vous permet d changer et trouver une. Tchat gratuit et rencontres sans inscription LoovChat Tchat gratuit sans inscription et rencontres par ville, entirement gratuits, des centaines de connects en permanence sur le chat gratuit sans inscription.


Thin Long Bt B 20Tp Full HD Phin Bn Thuyt Minh. Thin Long Bt B 20tp 4 o din Chung Hn Lng, din. Tmoignage en faveur d un proche pour la garde d un enfant Tmoignage en faveur d un proche pour la garde d un enfant. Tmoignage en faveur de votre fils ou fille pour la garde des. Traduction : beauf - Dictionnaire franais-italien Larousse beauf - Traduction Franais-Italien : Retrouvez la traduction de beauf, mais galement la.


Translation: Dating for free, to meet singles for free, chat.
U tin h rt l t t, h cng bo tao l gio vin ting Anh, tao. Un mail ainsi compos sera stock dans la bote d envoi, et sera expdi lors de la. Vous devez demander un(e) ami(e) de tmoigner en votre faveur.


WK-RH Paritarisme dans la branche de la Production Audiovisuelle - APPAV dans le cadre.

Aucun commentaire:

Enregistrer un commentaire

Remarque : Seul un membre de ce blog est autorisé à enregistrer un commentaire.

Articles les plus consultés